Nos
actualités
actualités
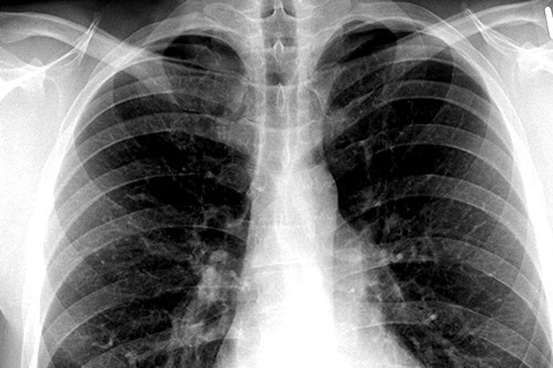
Une avancée majeure pour l’imagerie médicale au Pays Basque intérieur
L’Agence Régionale de Santé Nouvelle-Aquitaine a autorisé l’installation d’un scanner à l’EPS de Garazi
Lire la suiteRéunion plénière du projet Européen REVITAL à l'EPS de Garazi 27-28 mai
L’Etablissement Public de Santé de Garazi a accueilli dans ses locaux les 27 et 28 mai les différents partenaires espagnols , portugais et français du projet européen REVITAL
Lire la suiteRencontre Ville-Hôpital à l'EPS de Garazi - mardi 13 mai
Une Soirée Ville-Hôpital destinée à améliorer la connaissance de l'offre médicale hospitalière et de de ville entre professionnels s'est tenue dans les locaux de l EPS de Garazi le mardi 13 mai ...
Lire la suiteRecrutement : Job Dating Virtuel des Hôpitaux publics du Pays Basque 15 mai
Les hôpitaux publics du Pays Basque s’associent et organisent le 15 mai un Job Dating virtuel visant à recruter des candidats souhaitant venir ou revenir travailler au Pays Basque...
Lire la suiteL'EPS de Garazi et l'Ecole d'ingénieurs ESTIA mettent en place le pilotage du projet européen REVITAL en France
L’EPS de Garazi et L’École d’ingénieurs ESTIA de Bidart ont lancé, en janvier 2025, le pilotage du projet REVITAL dans leur zone d’action en France
Lire la suiteNotre
offre de soins
offre de soins
L'Établissement
Public de Santé
L'Établissement Public de Santé de Garazi membre du Groupement Hospitalier de Territoire Navarre Côte-Basque, vous ouvre ses portes.
0
Lits et places
0
Intervenants









